Sezonul 5 2026
1. Examinarea clinică și complementară. Aparate ortodontice funcționale, mobilizabile și fixe
Beneficiile neîndoielnice ale tratamentului ortodontic se bazează pe diagnostic, planificare și management atent. Evaluarea clinică și analiza radiografică sunt esențiale pentru formularea diagnosticului și a deciziilor de tratament adecvate care conduc la cel mai bun rezultat estetic și funcțional. Există o gamă largă de aparate ortodontice. Ele se împart în 4 categorii principale: aparate biomecanice, aparate funcționale, aparate fixe și dispozitive extraorale.
Aparatele ortodontice fixe sunt dispozitive moderne, sofisticate care pot poziționa cu precizie dinții.
Totuși nu trebuie ignorat rolul aparatelor mobilizabile și funcționale în tratamentul modern al anomaliilor dento-maxilare.
Conținut
-
Creșterea și dezvoltarea aparatului dento-maxilar. Concepte ale creșterii maxilarelor.
-
Anamneza pacientului ortodontic. Motivul prezentării. Evaluarea motivației și complianței.
-
Examenul clinic exooral: macro, mini și micro estetică
-
Examenul clinic endooral
-
Examinări complementare:
Amprenta în ortodonție (clasică și digitală)
Fotografia în ortodonție
Analiză digitală de model: evaluarea arcadelor dento-alveolare pe modele de studiu după diverse metode (perimetrie, Bolton, Pont, Korkhaus, Walla, Nance, Tanaka-Johnston)
Tooth size analysis
Examenul radiologic: analiză OPT, CBCT (evaluarea: discrepanței transversale între maxilare, elementelor anatomice pentru planificarea ancorajului scheletic, gradului de maturare a suturii medio-palatine - stadii)
Examinarea cefalometrică digitală (ONYXCEPH) (laterală și frontală): - Natural head position - Puncte/planuri de reper - Metode de interpretare cefalometrică (Schwartz, Roth-Jarabak, Arnett, Steiner, Downs, Ricketts, Mc Namara, etc) - Superimposition
-
Întocmirea fișei pacientului. Sumarul problemelor ortodontice. Obiective de tratament. Întocmirea diagnosticului. Tratamentul interdisciplinar. Munca în echipă (planning the teamwork). Scrisoare medicală: când? de ce?
-
Terapia ortopedică funcțională
-
Terapia ortopedică funcțională pentru redirecționarea creșterii maxilarelor
-
Factori de prognostic în reușita tratamentului ortopedic în anomaliile funcționale de clasa a II-a și a III-a
-
Tipuri de aparate funcționale: clasificare, elemente componente, principii de acțiune, indicații, mod de purtare, tipuri
-
Aparatele ortodontice biomecanice mobilizabile
Aparate ortodontice fixe
-
Elemente componente:
Bracketuri: - Descriere, clasificare (clasice versus autoligaturante, metalice versus fizionomice) - Efectul dimensiunii slotului asupra deplasării dentare (.018 vs .022) - Bracketuri edgewise versus bracketuri pre-angulate (straight wire)tion
Inele ortodontice
Accesorii
-
Arcurile ortodontice:
Tipuri de arcuri, proprietăți, metalurgie
Concluzii - alegerea arcurilor în funcție de situații clinice
-
Elastice: catenete, elastice intermaxilare, elastic thread, tub de protecție.
-
Coil-spring-uri - descriere, clasificare, indicații de utilizare
-
Colarea aparatului dentar fix: tehnică directă și indirectă (digital bracket positioning protocol) Step-by-step
Reguli de bază
Particularități de poziționare - situații speciale
Indicații pentru pacient (post-aplicare)
-
HANDS-ON: Colarea unui aparat dentar fix pe model printat 3D
-
HANDS-ON in office: fotografii intra/extraorale, scanare intraorala

2. Biomecanica în ortodonția clinică
Baza științifică a ortodonției este fizica și legile lui Newton aplicate unui sistem biologic. În zilele noastre clinicianul nu mai poate practica ortodonția ca pe o meserie sau să stăpânească doar o singură tehnică. El trebuie să înțeleagă acțiunea forțelor astfel încât să le poată manipula, pentru a îmbunătăți mișcarea activă și ancorarea dinților.
Conținut
-
Biologia deplasării dentare
Forțele ortodontice
Caracteristici
Efecte secundare
-
Definiția termenilor (centru de rezistență, linia de acțiune a forței, centru de rotație, momentul forței, cuplu de forțe, raport moment/ forță)
-
Tipuri de deplasare dentară
-
Forțe necesare diferitelor tipuri de deplasare dentară
-
Biomecanică ortodontică: mecanică segmentară
Sisteme de forțe determinate static (one-couple force system) - Cantilevers
Sisteme de forțe nedeterminate static (two-couple force system) - Burstone’s 6 geometries
Mecanica de alunecare (sliding mechanics)
Mecanica non-fricțională (frictionless mechanics)
-
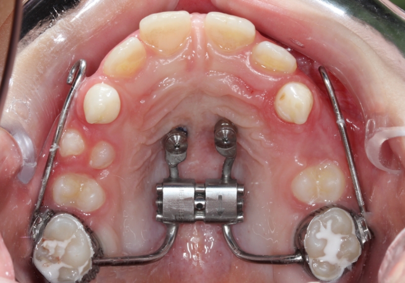
Conceptul de ancoraj:
Clasificare
Variante: - Închiderea spațiilor prin alterarea raportului alfa/beta - Bară transpalatinală (TPA) - Bară linguală - Headgear - Butonul Nance - Lip-bumper, etc
-
HANDS-ON pe model printat: activarea barei transpalatinale - cele 6 geometrii pe TPA
-
HANDS-ON: sesiune de indoituri pe arc - tip bends, step up/down, inset/offset, toe in/out, torque

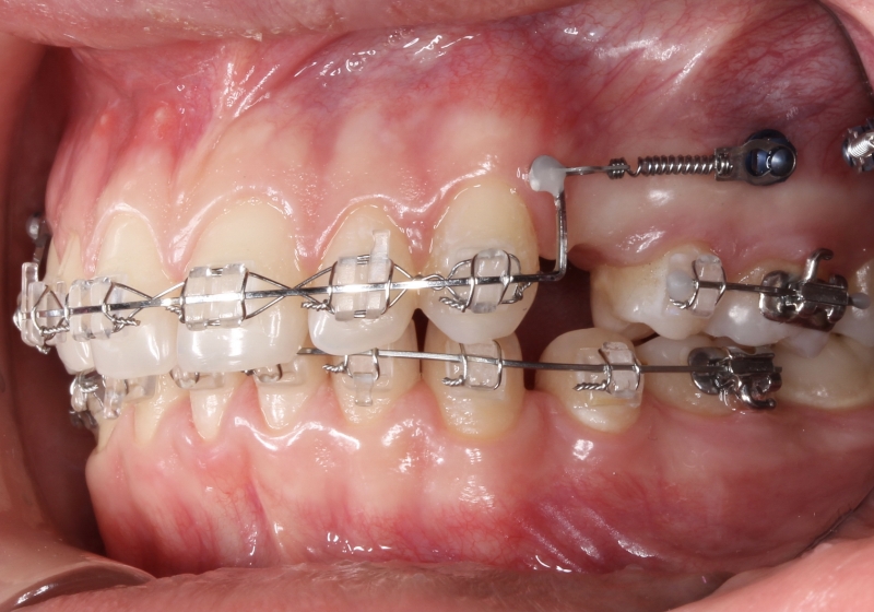
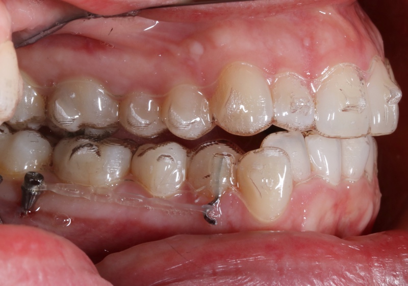
Ancorajul scheletic pe mini implante:
-
Design
-
Zone de inserție și considerații anatomice
-
Modalități de aplicare: free-drilling, pre-drilling
-
Stabilitate: primară, secundară
-
Mini implante pentru deplasări antero-posterioare (en masse retraction, mezializare, distalizare a arcadelor dentare)
-
Dispozitive de uprighting de molari
-
Deplasări în plan vertical: intruzia dentară pe mini implante (dinți anteriori, posteriori, arcadă dentară), corectarea cantului de plan ocluzal
-
Mini implante pentru deplasări în plan transversal (expansiunea maxilarului, corectarea liniei interincisive)
-
Mini implante extraalveolare – creasta infrazigomatică (IZC), creasta oblică externă (BS)
-
Sistem Benefit - generalități
-
Mini-plăcuțele ortodontice
-
HANDS-ON: inserția mini implantelor în mandibulă de porc

3. Anomalii clasa I
Malocluziile de clasa I Angle, în special cele cu înghesuire sunt unele din cele mai frecvente anomalii întâlnite în practică. La o primă impresie par anomalii simple, tratamentul însă este complex, diferă în funcție de vârstă, de anomaliile asociate și de statusul odontal.
Conținut
1. Etiologie. Diagnostic
2. Tratamentul în dentația mixtă
-
Extracții vs nonextracții – analiza spațiului
-
Strategii de obținere a spațiului în dentația mixtă
Expansiunea maxilarului
Mijloace de expansiune: placă palatinală cu șurub, plăcuță linguală, quad-helix, disjunctor. Protocol McNamara
Tipuri de disjunctoare (Hyrax, Haas, Hybrid-Hyrax)
Lip Bumper
2x4
Space management – menținătoare de spațiu (Nance, Bară linguală)
Șlefuirea interproximală (slicing) a dinților temporari
Extracția seriată
3. Tratamentul în dentația permanentă
-
Strategii de obținere a spațiului în dentația permanentă
Expansiunea maxilară cu disjunctoare: tooth borne și bone borne (pe 4 mini implante)
Dilatare dento-alveolară
Distalizarea arcadelor dentare cu pendulum, distal jet, Beneslider, mini implante extraalveolare (BS screw și IZC screw), miniplăcuțe
Reducere interproximală a smalțului (IPR)
Decizia de extracție: linii ghid, alegerea dinților de extras. Metode de închidere a spațiilor extracționale: sliding mechanics / frictionless mechanics
Concluzii: extracție versus non-extracție
-
HANDS-ON pe TYPODONT: bucla omega, bucle de inchidere (teardrop loop, vertical closed helix loop, T-loop)

4. Anomalii clasa II. Interdependența și asocierea sens vertical-sens sagital.
Malocluziile de clasa a II-a pot fi tratate în trei moduri: extracțional, nonextracțional (prin distalizarea dinților maxilari în clasa I) și prin chirurgie ortognată (cu sau fără extracții). Factorii care influențează opțiunile terapeutice includ: severitatea anomaliei și vârsta pacientului.
La pacienții în creștere sau adolescenți tratamentul de elecție constă în influențarea creșterii și mezializarea mandibulei.
Conținut
A. Diagnosticul și managementul deep-bite-ului (dentar și scheletic)
-
Etiologie
-
Diagnostic. Diagnostic diferențial
-
Tratamentul prin ingresiunea zonei frontale
-
Tratamentul prin egresiunea zonelor laterale
B. Diagnosticul și managementul open-bite-ului (dentar și scheletic)
-
Etiologie
-
Diagnostic. Diagnostic diferențial
-
Tratamentul prin egresiunea zonei frontale
-
Tratamentul prin ingresiunea zonelor laterale
C. Anomalia de clasa II/1 si II/2
-
Etiologie
-
Forme clinice
-
Semne clinice și complementare
-
Diagnostic. Diagnostic diferențial
-
Timpul optim de tratament (în funcție de CVM)
-
Tratament într-o singură etapă sau în două etape?

Obiective terapeutice în funcție de forma clinică (II/1 sau II/2) și sensul vertical (deep-bite, open-bite)
-
Faza 1: dentația temporară și mixtă - profilaxie și intercepție
Tratamentul interceptiv:
Mijloace de convingere, coercitive
Miogimnastică
Aparate funcționale de inhibiție
Tratament simptomatic:
Indicațiile tratamentului precoce (early treatment)
Crearea premiselor exprimării creșterii mandibulare (protruzie și intruzie incisivă, expansiune maxilară, redirecționarea creșterii mandibulare prin controlul sensului vertical)
-
Faza 2: Tratamentul clasei a II-a - momentul optim - puseul de creștere pubertar
Obiective: expansiunea maxilarului, corectarea relațiilor ocluzale prin stimularea și redirecționarea creșterii sagitale mandibulare (mezializarea mandibulei)
Teorii privind potențialul de creștere mandibulară
Evaluarea capacității de răspuns individual. Factori de prognostic
Modificările în sens vertical ca mijloc de corecție a sensului sagital (rotație mandibulară counterclockwise)
Mijloace terapeutice:
Head-gear
Aparate fixe, elastice de clasa a II-a
Aparate funcționale fixe (fixed functional): Herbst, SUS, Powerscope, Jasper Jumper, Forsus, etc
Tratament extracțional
Distalizarea arcadei maxilare
-
Tratamentul adultului
Camuflaj versus chirurgie ortognată
Modalități de reducere a overjetului
Extracție versus non-extracție
Protocoale extracționale – alegerea dinților de extras în clasa II. Probleme de ancoraj
Distalizarea arcadei superioare
-
Biomecanica
În clasa II/1
În clasa II/2
-
Round table discutii cazuri clinice
-
HANDS-ON: 3-piece intrusion arch

5. Anomalii de clasa III
Anomaliile de clasa a III-a sunt anomalii complexe care cuprind mai multe entități clinice. Tratamentul acestora este deseori complicat.
Limitarea creșterii mandibulare este cea mai dificilă provocare a ortodontului. Dezvoltarea maxilarului superior însă, este mult mai influențabilă, ceea ce poate fi util în planificarea tratamentului.
Conținut
-
Etiologie
-
Caracteristicile creșterii în clasa a III-a. Predicția de creștere
-
Forme clinice
-
Diagnostic
Tratament:
-
Dentație temporară
-
Dentație mixtă (early treatment) - protocoale terapeutice:
Protocolul McNamara: plăcuță linguală Schwarz, RPE și face mask
Protocolul Alt-Ramec
Hybrid Hyrax
-
Tratamentul la pubertate (late treatment):
Protocolul lui Hugo De Clerck
-
Tratamentul adultului:
Camuflaj versus chirurgie ortognatică
-
Tratamentul nonextracțional de compensare a anomaliei: reducere interproximală a smalțului, distalizarea arcadei inferioare
-
Protocolul extracțional în clasa a III-a
-
Asimetrii. Canturile planului ocluzal
-
HANDS ON: realizarea pe typodont a unui sistem 2x4 cu arc utility de protruzie


6. Tratamentul ortodontic cu alignere.
Alignerele au revolutionat domeniul ortodonției oferind o alternativă aproape “impercebtibila” la aparatele dentare tradiționale. Din ce in ce mai multi pacienti aleg alignerele pentru estetica si comfortul oferit in timpul purtarii. Este insa important să înțelegem ca tratamentul cu aligneri este o tehnică si nu un produs.
Există conceptia eronata ca terapia cu gutierele transparente este o ortodonție de „compromis”, un aparat care este capabil sa realizeze doar deplasari dentare minore. Sistemul de alignere actual ofera un tratament ortodontic complet si complex , pentru o gamă largă de malocluzii dar, ca si orice alt aparat ortodontic, are indicatii precise si individualizate.
Biomecanica deplasarii cu acest sistem este diferita de cea clasica, iar cunoasterea sa este esentiala pentru reusita tratamentului. Prin urmare ortodontul trebuie sa-si insuseasca tehnicile particulare, pentru a evita sa se bazeze doar pe deplasarile dentare realizate digital de catre tehnician.
Conținut
-
Comparatie intre aparatul fix si alignere. Biomecanica alignerelor
-
Tipuri de atasamente
-
Clincheck software
-
Digital workflow. Incarcarea unui caz step by step
-
Pasi de urmat pentru a evalua un plan de tratament pregatit in clincheck software
-
Controale 3D
-
Protocoale de tratament in: inghesuiri, openbite, deepbite, clasa II, mandibular advancement, clasa III, extractii, invisalign first, chirurgie ortognata, etapa de finisare.
-
HANDS-ON: colare atasamente pe model printat

7. Tratamentul ortodontic al dinților incluși.
Una dintre cele mai dificile problemele de tratat de către ortodont este lipsa erupției dinților. Vizualizarea dinților incluși este relativ simplă prin metodele actuale de investigație imagistică. În schimb, ghidarea lor în locul corespunzător este de multe ori greu de realizat.
Pierderea osoasă, resorbția rădăcinilor, conturul gingival slab și lipsa de stabilitate sunt probleme des întâlnite în tratamentul acestor afecțiuni.
Conținut
-
Principii generale de diagnostic și tratament
-
Investigații radiologice
-
Modalități de abordare chirurgicală a dinților incluși
-
Tratament ortodontic: componente și strategii
-
Resorbția radiculară
-
Cauze de eșec
-
HANDS ON pe MODEL: realizarea de cantilevere pe model pentru aducerea pe arcadă a dinților incluși

8. Tratamentul combinat ortodontic si chirurgical
Există pacienți ale căror probleme ortodontice sunt atât de grave încât nici modificarea creșterii, nici camuflajul nu oferă o soluție, intervențiile chirurgicale de aliniere a bazelor osoase fiind singura variantă de tratament.
Chirurgia ortognată nu se substituie tratamentului ortodontic, în schimb trebuie coordonată cu acesta pentru a obține în final un rezultat estetic și funcțional satisfăcător.
Progresul înregistrat în ultimii ani în domeniul imagisticii, chirurgiei și digitalizării fac posibilă tratarea acum a unor anomalii grave dento-faciale care până în urmă cu câțiva ani erau imposibil de tratat.
Conținut
-
Indicația tratamentului ortodontic-chirurgical în funcție de severitatea malocluziei. Limitele camuflajului
-
Considerații estetice, funcționale și psihologice
-
Simularea obiectivelor de tratament ortodontic și chirurgical (VTO)
-
Munca în echipă și succesiunea etapelor terapeutice
1. Tratamentul ortodontic prechirurgical
-
Obiectivele etapei prechirurgicale
-
Decompensarea ortodontică a anomaliei
-
Check-up-ul etapei prechirurgicale
Evaluarea gradului de decompensare
Set-up prechirurgical 3D
Splinturile chirurgicale
2. Tratamentul chirurgical
-
Tehnici chirurgicale (SARPE, LeFort, BSSO, Genioplastie)
3. Tratamentul ortodontic postchirurgical
-
Regimul pacienților post-chirurgie
-
Reinițierea tratamentului ortodontic
-
Finisare

9. Tratamentul interdisciplinar
Numărul pacienților adulți care solicită tratament ortodontic a crescut peste tot în lume. Motivația principală ține de estetică, dar și de funcționalitate și constă în dorința de a corecta poziția dinților frontali (înghesuire sau spațiere) și reabilitarea zonelor laterale. Frecvent, anomalia inițială este agravată de afecțiuni parodontale și dentare.
Finisarea în ortodonție este descrisă ca o “artă”, care denotă sensibilitatea pentru estetică a ortodontului. Gradul de finisare a cazurilor face diferența dintre un “maestru” al profesiei și un ortodont mediu.
Totodată, o finisare atentă este cheia stabilității rezultatului tratamentului ortodontic. Pentru a evita o eventuală recidivă, contenția biologică și mecanică este indispensabilă.
Conținut
1. Orto-Paro:
-
Considerații parodontale
-
Secvența tratamentului. Rolul parodontologului și rolul ortodontului
-
Caracteristicile tratamentului ortodontic în contextul afectării parodontale
-
Tratamentul ortodontic al pacienților cu incisivi protrudați și extrudați
-
Retracțiile gingivale – grefă înainte sau după?
2. Orto-Protetică:
-
Închiderea spațiilor postextracționale vs. redeschiderea lor și restaurare protetică
-
Uprightingul dinților limitanți breșei
-
Tratamentul ageneziei incisivului lateral superior
-
Evaluarea și alinierea zeniturilor dentare (zeniths)
-
Remodelare coronară (reshaping)
-
Tratamentul microdonției – buildups sau veneers
-
HANDS-ON pe TYPODONT: uprighting spring, mezializarea molarului cu power arm
-
Finisare
Poziționarea dinților în etapa de finisare. Criterii estetice și de stabilitate
Evaluarea intraarcadică și interarcadică
Elasticele de finisare (settling)
Îndoituri pe arc (wire bends) pentru finisare
Alterarea morfologiei dentare în scop estetic prin șlefuiri selective (reshaping) sau adiție de compozit (build-ups)
Soft tissue management - gingivectomia
-
Ocluzia statică și dinamică la finalul tratamentului
-
Îndepărtarea aparatului fix și colarea contenției fixe step-by-step
-
Factori determinanți ai stabilității dentare
CSF – Fibrotomia circumferențială supracrestală
IPR – Interproximal enamel reduction – Reducere interproximală de smalț
Supracorecția
Poziționarea radiculară (root positioning)
-
Cauzele recidivei
Atitudinea față de molarii de minte
Factori parodontali
Factori ocluzali
Factori funcționali
Creșterea
-
Tipuri de aparate de contenție (mobilizabile, mobile, fixe)
-
Durata contenției și controalele periodice
-
Retratamentul ortodontic după recidivă
-
HANDS-ON: colare contentie fixa

Aplică pentru un loc la Ortho Academy
